
Krvni strdki v povezavi s pomanjkanjem krvnih ploščic so redka posledica cepljenja z vektorskima cepivoma AstraZenece in Janssena. Evropska agencija za zdravila ocenjuje, da se zgodijo pri enem človeku od 50.000 cepljenih, in po njihovih podatkih so se vsi primeri zgodili pri mlajših od 60 let, večina pri ženskah. Zakaj torej vztrajamo pri cepljenju mlajših ljudi z vektorskimi cepivi?
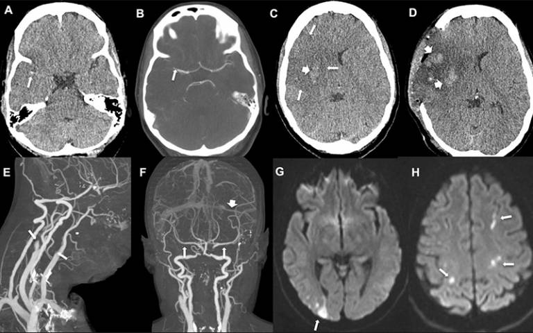
Cepljenje z vektorskimi cepivi v zelo redkih primerih povzroči trombotično trombocitopenijo (z angleško kratico VITT, vaccine-induced thrombotic thrombocytopenia). Sočasno z nizkim številom krvnih ploščic oziroma trombocitov se v telesu, pogosto v možganih, pojavijo krvni strdki (tromboza).
V zadnji različici Eminih navodil za uporabo je tako za AstraZeneco kot Janssen navedeno, da se tromboza s trombocitopenijo pojavi pri manj kot enem na 10.000 cepljenih.
Ena od možnih razlag kombinacije krvnih strdkov in nizke ravni trombocitov je imunski odziv na cepivo.
"V teh primerih nastanejo imunske motnje, ki spremeni krvne ploščice oziroma trombocite," pravi infektologinja in vodja strokovne skupine za covid-19, Mateja Logar. "Trombociti izrazijo antigenske lastnosti, ki jih sicer ne bi, in se nenadoma začnejo združevati v skupke, tako lahko zamašijo žilo. Hkrati pa lahko na drugem mestu v telesu pride do krvavitve."
Strokovnjaki menijo, da se adenovirus, ki je vektor pri teh cepivih, veže na trombocite in povzroči njihovo preaktivacijo.
Razlog, zakaj pri nekaterih cepljenje povzroči VITT, še ni pojasnjen, tako tudi ne vemo vnaprej, pri katerih ljudeh bi se lahko pojavil. Za zdaj nič ne kaže, da bi bilo tveganje večje pri tistih, ki so sicer nagnjeni h krvnim strdkom: nosečnicah, ženskah, ki jemljejo kontracepcijo, in tistih, ki so v preteklosti že imeli krvne strdke ali pa imajo te težave v družini.
Pri VITT gre namreč za zaplet, drugačen od razmeroma pogostih krvnih strdkov, ki povzročajo globoko vensko trombozo ali pljučno embolijo. Medtem ko se ti pogosto pojavijo ob hujšem poteku covida-19, pa s cepljenjem nimajo nobene povezave.
Kot ugotavlja Emin Odbor za varnost zdravil (PRAC), so se pri VITT krvni strdki pojavili v venah v možganih in trebuhu ter v arterijah. VITT se pojavi od štiri do 28 dni po cepljenju, največkrat v dveh tednih po prvem odmerku. Glede drugega odmerka je zaradi majhnega števila cepljenih za zdaj še premalo podatkov.
Razlike med cepivi
Podatki iz različnih držav, ki so cepile s cepivom AstraZenece, kažejo, da je verjetnost sindroma VITT med 1 : 26.000 in 1 : 127.000. Številke se razlikujejo po državah in so odvisne od kakovosti spremljanja podatkov o stranskih učinkih ter števila porabljenih odmerkov, zato se lahko ocenjena verjetnost še spremeni.
Po dozdajšnjih ugotovitvah ta redki zaplet nastane pri uporabi cepiva AstraZenece, ki uporablja šimpanzji adenovirus, in cepivu Janssena, kjer uporabljajo človeški adenovirus.
Pri cepivu Janssena je delež potrjenih primerov VITT za zdaj manjši kot pri AstraZeneci, a je manj tudi porabljenih odmerkov tega cepiva.
Kljub stotinam milijonov porabljenih odmerkov za zdaj ni nobenih poročil, da bi ta redki hudi sindrom povzročala tudi cepiva, izdelana s tehnologijo mRNA (Pfizer/BioNTech in Moderna).
Morda bolj presenetljivo pa je, da opisanih primerov VITT ni niti med zaznanimi stranskimi učinki ruskega cepiva Sputnik V in kitajskega Convidecia (CanSino Biologics), ki sta, podobno kot AstraZeneca in Janssen, vektorski cepivi, osnovani na adenovirusih.
Za zdaj ni jasno, ali je to posledica drugačne sestave teh cepiv ali zgolj pomanjkljivega beleženja stranskih učinkov.
Kako nevarni so strdki v primerjavi s covidom-19
V tem poročilu iz 23. aprila Evropska agencija za zdravila primerja verjetnost pojava trombotične trombocitopenije po cepljenju s cepivom AstraZenece in možnost za hospitalizacijo ali smrt zaradi covida-19.
Ema možnost pojava VITT za mlajše od 50 let ocenjuje na okrog dva na 100.000, torej naj bi to hudo obliko krvnih strdkov dobil eden od 50 tisoč cepljenih v tej starostni skupini.
V spodnji tabeli je primerjava verjetnosti pojava VITT z možnostjo, da nekdo iz iste starostne skupine zboli ali umre za covidom-19, ta pa je odvisna od pojavnosti (incidence) okužb.

Ema še naprej trdi, da koristi cepljenja odtehtajo tveganja, kar seveda drži na nivoju populacije. Nedvoumno je, da cepljenje deluje in preprečuje težje oblike covida-19, ki zahtevajo hospitalizacijo in so lahko za bolnika usodne. Med cepljenimi je možnost hudega poteka bolezni, hospitalizacije in smrti zmanjšana za najmanj 85 odstotkov.
Kot so zapisali slovenski strokovnjaki za žilne bolezni, bi "v najslabšem primeru lahko VITT utrpela ena oseba na sto tisoč cepljenih z vektorskim cepivom. Na drugi strani pa bi med sto tisoč necepljenimi ljudmi, ki bi zboleli za covidom-19, po dosedanjih ocenah in naših izkušnjah trombembolični dogodek utrpelo najmanj dva tisoč bolnikov."
Medtem ko, kot je razvidno iz tabele, cepljenje prepreči na stotine smrti med starejšimi, pa je pri mladih razlika med možnostjo, da umreš od covida-19 ali da dobiš VITT, manjša.
V oči bode predvsem podatek, da je tudi ob veliki pojavnosti koronavirusa v populaciji možnost, da nekdo, ki je mlajši od 30 let, umre od covida-19 0 (nič), možnost, da dobi VITT, pa je 1,9. V starostni skupini 30–39 let bi po teh podatkih s 100.000 cepljenji preprečili tri smrti zaradi covida-19, VITT pa bi dobila dva človeka (1,8).
Prav zaradi teh ugotovitev so se v nekaterih državah odločili, da bodo z vektorskimi cepivi cepili le starejše.
Po dozdajšnjih ugotovitvah je trombotična trombocitopenija po cepljenju usodna v 20 do 50 odstotkih primerov.
Je res več primerov med mlajšimi ženskami?
Po besedah vodje Posvetovalne skupine za cepljenje pri NIJZ dr. Bojane Beović zgornja statistika Evropske agencije za zdravila ni dobro utemeljena. "Statistika o neželenih stranskih učinkih za osebe, mlajše od 40 let, ni zelo zanesljiva. Vendarle so neželeni učinki možni tudi pri starejših in pri moški populaciji."
Statistika se spreminja s časom, več kot je cepljenih, več je poročil o stranskih učinkih. VITT je tako zelo redek, da ga med kliničnimi preizkusi niso zaznali, čeprav je v njih sodelovalo več deset tisoč ljudi.
Večjo pojavnost pri mlajših ženskah, ki se kaže v dozdajšnjih ugotovitvah Eme, bi tako lahko pojasnili s tem, da so bili med prvimi cepljeni zdravstveni delavci, med njimi pa je več mlajših žensk.
V Sloveniji je bil doslej potrjen en primer trombotične trombocitopenije, ki je nastala kot posledica cepljenja s cepivom AstraZenece. 50-letno bolnico so uspešno pozdravili na nevrološki kliniki.
Primer Slovenke, ki je umrla po cepljenju s cepivom Janssena v Bruslju, še preiskujejo.
Pomembno je hitro specialistično zdravljenje
Hitra diagnoza trombotične trombocitopenije in takojšnja klinična obravnava sta ključni, da pacienti ob tem redkem zapletu uspešno okrevajo.
Kot je zapisano v navodilih zdravstvenim delavcem, je treba osebe, pri katerih je v treh tednih po cepljenju s cepivom Vaxzevria (AstraZeneca) ugotovljena trombocitopenija, aktivno preiskati glede znakov tromboze. Podobno je treba osebe, ki se jim v treh tednih po cepljenju pojavi tromboza, oceniti glede trombocitopenije.
Če se po cepljenju pojavijo simptomi krvnih strdkov z nizkim številom trombocitov, je treba takoj poiskati zdravniško pomoč. Ti simptomi so:
– oteženo dihanje,
– bolečine v prsih,
– otekanje okončin,
– vztrajna bolečina v trebuhu,
– nevrološki simptomi vključno s hudim in vztrajnim glavobolom ali zamegljenim vidom,
– številne drobne modrice pod kožo izven mesta injiciranja.
V Sloveniji potrjen en primer, za ostale podatke še zbirajo
Register prijavljenih primerov neželenih učinkov cepiv v Sloveniji vodi NIJZ, ki vsak teden pripravi poročilo. Skupina strokovnjakov vse primere resnih neželenih učinkov preuči in ugotavlja, ali so bili posledica cepljenja ali pa je šlo zgolj za časovno povezavo.
Med resne neželene učinke uvrščajo življenje ogrožajoča stanja ali bolezen, hospitalizacijo ali podaljšanje hospitalizacije, trajne okvare, druga klinično pomembna stanja in smrt.
Od februarja, ko smo začeli cepiti z AstraZeneco, je bilo porabljenih več kot 263 tisoč odmerkov. Dobili so 2.772 prijav neželenih učinkov, med njimi je bilo 40 resnih.
Med njimi je en primer, pri katerem so nastale nevrološke motnje (parestezije in izguba moči v okončinah) in trombocitopenije. Strokovnjaki so ocenili, da je v tem primeru povezava s cepljenjem možna.
Več primerov je še v fazi preiskave. Med tistimi, ki so zahtevali hospitalizacijo, so navedeni tudi po en primer venske tromboze, en primer pljučne embolije in en primer tromboze možganske arterije s trombocitopenijo in tromboze arterije.
Cepivo Janssena pri nas uporabljamo od konca aprila, doslej so porabili več kot 35 tisoč odmerkov. Zaznali so 222 prijav neželenih učinkov, med katerimi so bili trije resni.
V prvem primeru je šlo za smrt zaradi trombembolije s trombocitopenijo, ki je bila v časovni povezavi s cepljenjem. Gre za primer Slovenke, ki je umrla po cepljenju s cepivom Janssen v Bruslju, in ki ga še preiskujejo.
V drugem primeru je šlo za možgansko kap, v tretjem pa za vensko trombozo. Tudi ta dva primera sta še v fazi zbiranja podatkov.
Zaradi prestrašenih ljudi gneča na nevrologiji
Zaplet trombotične trombocitopenije po cepljenju je izjemno redek, skrbi glede njega pa veliko pogostejše. Na urgenci nevrološke klinike v Ljubljani, kamor splošni zdravniki napotijo tiste z (domnevnimi) simptomi, so v zadnjih mesecih zaznali za tretjino več sprejemov kot po navadi, to je okrog deset dodatnih pacientov na dan.
Podobno je na drugih urgencah, zato se poraja skrb, da bi zdravstveni delavci v množici pacientov spregledali koga s hudim obolenjem.
Glavoboli, omotica, mravljinčenje, vrtoglavica – vse to simptomi, ki pestijo prestrašene ljudi, cepljene s cepivom AstraZenece ali Janssenom, ki prihajajo na nevrološko urgenco. "Tako številne napotitve močno ogrožajo kakovost oskrbe urgentnih bolnikov. Naše zdravstveno osebje namreč preveč pozornosti in energije porabi za številne paciente, ki urgentne obravnave ne potrebujejo," so zapisali nevrologi in splošnim zdravnikom poslali natančna navodila za diagnosticiranje trombotičnih zapletov po cepljenju.
Kakšno je tvoje mnenje o tem?
Sodeluj v razpravi ali preberi komentarje