
V SB Celje so izvedli prva posega vstavitve srčne zaklopke skozi žilo (TAVI). To je priznana klinična metoda zdravljenja bolnikov s pomembno zožitvijo aortne zaklopke, ki sta jo do zdaj med javnimi zavodi izvajala le UKC Maribor in UKC Ljubljana.
V Splošni bolnišnici Celje so prejšnji teden začeli izvajanje priznane klinične metode zdravljenja z zožitvijo aortne zaklopke – TAVI (Transcatheter Aortic Valve Implantation).
Prva posega so izvedli pod mentorstvom vodje katetrskega laboratorija UKC Ljubljana prof. dr. Matjaža Bunca in srčnega kirurga prim. Gorazda Koširja iz UKC Maribor. Bila sta uspešna, pacienta pa sta tri dni po posegu lahko zapustila bolnišnico.
"Medsebojno sodelovanje, pomoč, požrtvovalnost in kolegialnost so pokazali medicino v najlepši luči in dokazali, da tudi pandemija ni ustavila naše želje po napredku, učenju in reševanju življenj ter velike moči in odgovornosti javnega zdravstva, da slednji cilj tudi uresničuje," je po prvih izvedenih posegih dejal predstojnik Kardiološkega oddelka in iniciator uvedbe tega programa dr. Dragan Kovačić, dr. med.
"Možnost implantacije srčnih zaklopk v domači bolnišnici je za kardiološke paciente te regije velika in pomembna pridobitev. Hkrati pa sem vesel, da iz t. i. katastrofne medicine, s katero se ukvarjamo že dobro leto dni, počasi spet prehajamo v precej normalno delovanje, v katerem je prostora tudi za takšne novosti, ki pomenijo strokovno rast bolnišnice," pa je izpostavil v. d. strokovnega direktorja bolnišnice prof. dr. Radko Komadina.
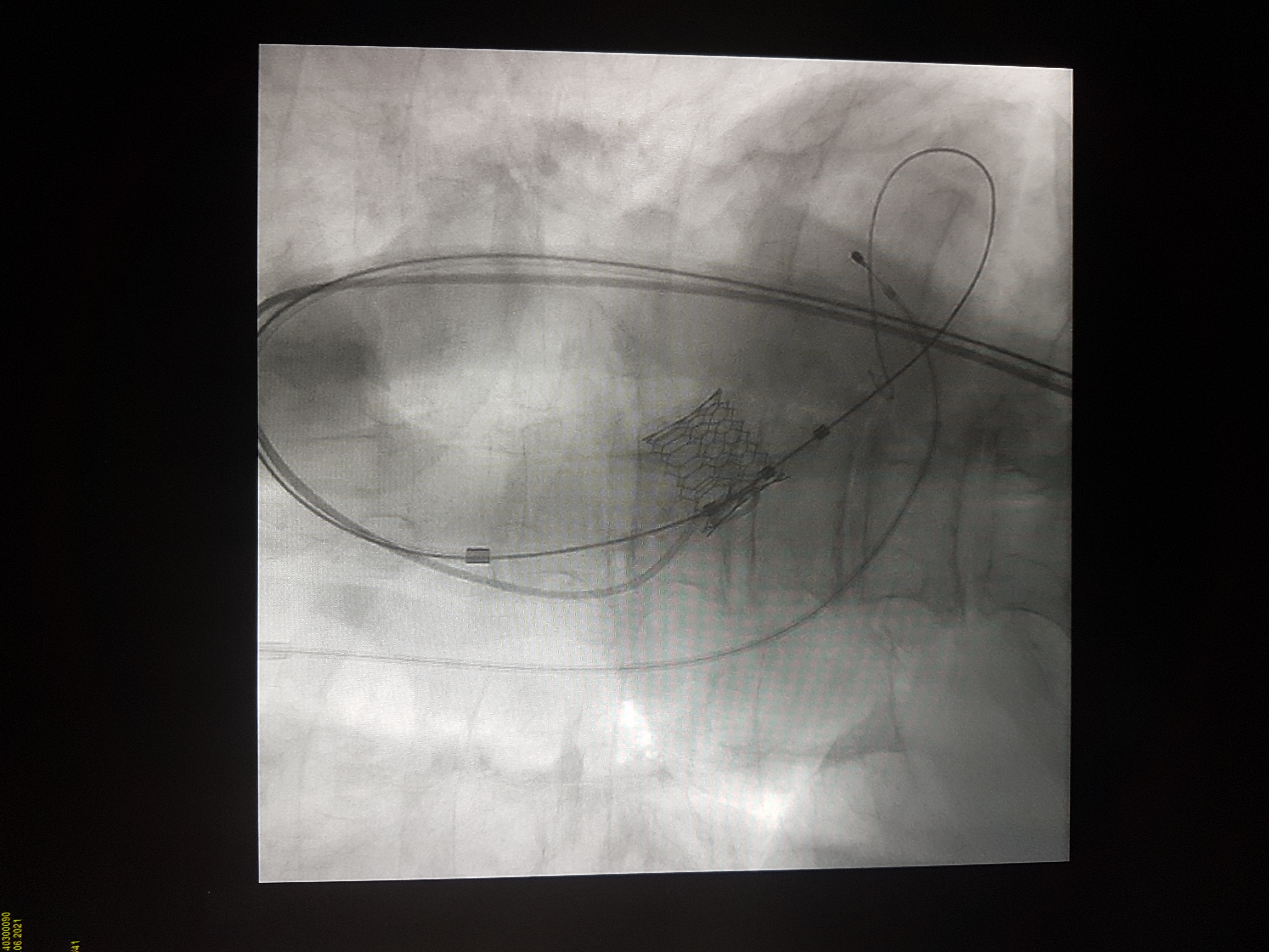
Kaj je TAVI?
Perkutana implantacija aortnih zaklopk (TAVI) ali vstavitev srčnih zaklopk skozi žilo na nogi je priznana klinična metoda zdravljenja bolnikov s pomembno zožitvijo aortne zaklopke.
Gre za poseg, pri katerem skozi eno od večjih arterij na stegnu uvedejo umetno biološko aortno zaklopko in jo po žilah vodijo do srca in mesta vstavitve. Njena bistvena prednost je minimalna invazivnost posega v telo. Drugi, kirurški načini namreč zahtevajo odprtje prsnega koša, zunajtelesni obtok in dolgotrajno splošno anestezijo.
Metoda je bila sprva namenjena predvsem bolnikom, pri katerih je klasična operativna zamenjava aortne zaklopke predstavljala preveliko tveganje. Danes se zaradi številnih prednosti maloinvazivnega posega, zaradi katerih se bolniki hitro mobilizirajo in rehabilitirajo, TAVI uporablja tudi pri mlajših bolnikih s srednjim tveganjem operativnega posega.
V Sloveniji se trenutno letno izvede približno 400 TAVI posegov na leto. V SB Celje načrtujejo, da bomo po zaključenem edukativnem obdobju k tej številki dodali 50 posegov letno.
Naraščanje števila ljudi, ki potrebujejo kardiokirurški poseg
Srčne bolezni so še vedno med glavnimi vzroki za prezgodnje umiranje ljudi. Kot so zapisali v SB Celje, v regiji, ki jo pokrivajo, kardiokirurški poseg letno potrebuje med 300 in 350 bolnikov.
V to število niso všteti tisti, ki potrebujejo urgentno zdravljenje, bolniki, ki bi potrebovali hibridno zdravljenje motenj ritma ter potencialni bolniki za zdravljenje s TAVI-metodo. Če se všteje še te, se skupno število pacientov, ki iz celjske regije odhajajo na obravnavo v druge bolnišnice, poveča na 400 do 450 letno.
Demografski kazalniki in ocene iz preteklih let pa nakazujejo, da bo število pacientov, ki bodo potrebovali kardiokirurški poseg, iz leta v leto naraščalo. Stanje je poslabšala tudi pandemija covida-19.
Kakšno je tvoje mnenje o tem?
Sodeluj v razpravi ali preberi komentarje