
26-letnica iz Belgije se je po priporočilu mamine prijateljice odločila za zobni poseg v Turčiji, a se ji je življenje obrnilo na glavo. "Dvakrat premislite, preden se odločite za zobozdravnika v tujini," je posvarila. "Ne samo da sem izgubila zobe. Moje življenje je uničeno. Še vedno ne morem normalno jesti in se na široko smejati," je še dejala za britanski tabloid.
Belgijka Alana Boone želi deliti neprijetno izkušnjo iz Turčije, ljudi bi rada opozorila na možne posledice.
26-letnica je po posegu v kliniki v Turčiji ostala brez zob. Tja je odšla po priporočilu mamine prijateljice, ki je leta 2021 potrebovala prevleko za zobe, piše britanski Mirror.
Za celoten poseg – skupno z letom in hotelsko namestitvijo – je odštela približno 10 tisoč evrov, od tega za operacijo 6.700 evrov. S turškim zobozdravnikom se je dogovorila prek družbenih omrežij, prav tako mu je poslala fotografijo zob.

V Turčijo je odpotovala konec julija, takrat so ji zbrusili zobe.
Za britanski Mirror je pojasnila, da jo je v ustni votlini začelo boleti že naslednji dan, nato so ji na kliniki pojasnili, da ji morajo odstraniti tudi zobno pulpo, ki naj bi bila močno poškodovana.
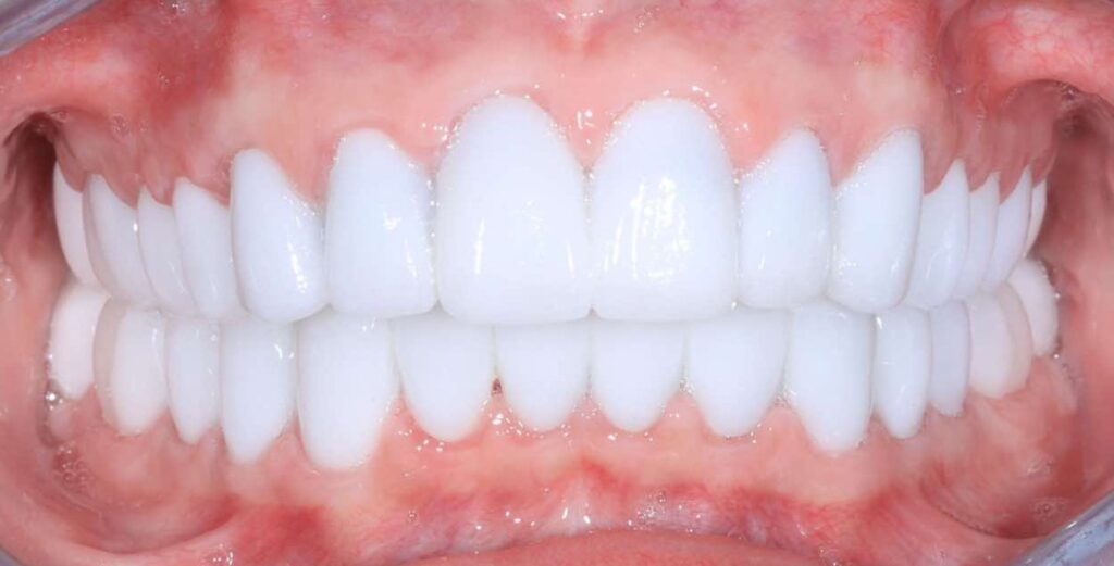
Čez dva dni so ji namestili trajne krone. Dejala je, da je kričala od bolečin. Ko se je v začetku avgusta vrnila domov, so postale bolečine še močnejše. Začela je čutiti luknje v ustih in "slab" okus, piše Mirror.

Nato je obiskala zobozdravstveno ordinacijo v Belgiji, kjer so ji pojasnili, da je bilo zdravljenje popolnoma neuspešno in da je treba izpuliti vse zobe.
Morala je na korektivni poseg, ponudili so ji tri možnosti zdravljenja, ki so stala od 26 do 46 tisoč evrov.
Aprila letos so ji odstranili vse zobe, nato so ji vstavili osem vsadkov. Posvetovala se je tudi z oralnimi kirurgi, ki so se strinjali, da je edina možnost, da ji izpulijo vse zobe in začne znova. Še vedno se ni povsem znebila vsakodnevnih bolečin, a ji je odleglo, da je zdaj zdravljenje skoraj pri koncu.

Boone upa, da bo zdravljenje zaključila do julija naslednje leto, medtem pa želi deliti svojo zgodbo, da druge opozori na možne posledice po negotovih posegih.
"Dvakrat premislite, preden se odločite za zobozdravnika v tujini, saj lahko nastanejo zapleti. Tako na koncu za poseg lahko odštejete mnogo več kot doma. Ne samo da sem izgubila zobe. Moje življenje je uničeno. Še vedno ne morem normalno jesti in se na široko smejati," je še dejala za britanski tabloid.
Kako vam je všeč N1? Kaj bi izboljšali?
Dragi bralci in bralke, pomagajte nam izboljšati N1. Kaj pogrešate, kaj vam je všeč, česa ne marate? Pripravili smo kratko anketo o zadovoljstvu bralcev, reševanje traja približno pet minut, anketa pa je anonimna. Povezava do ankete: https://n1slovenija.1ka.si/raziskava-branosti
Kakšno je tvoje mnenje o tem?
Sodeluj v razpravi ali preberi komentarje