
Raziskave kažejo, da mačke razvijejo demenco na podoben način kot ljudje z Alzheimerjevo boleznijo. To odpira nove možnosti za raziskovanje bolezni in iskanje novih zdravil.
Oglaševanje
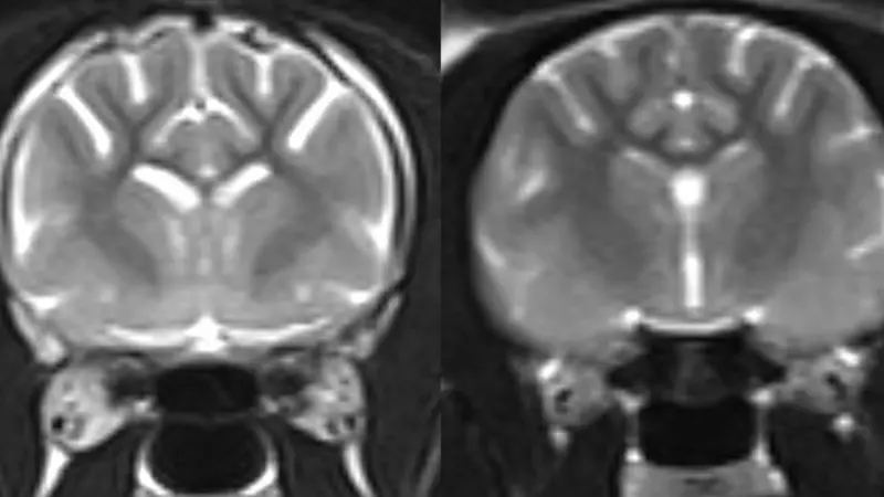
Raziskovalci univerze v Edinburgu so opravili obdukcijo na možganih 25 mačk, ki so imele v času življenja simptome demence – zmedenost, motnje spanja in povečano vokalizacijo.
Ugotovili so, da se tudi pri njih pojavlja kopičenje amiloid bete, strupene beljakovine. To je značilno tudi za bolnike z Alzheimerjevo boleznijo.
Oglaševanje
Znanstveniki so odkritje pozdravili, saj verjamejo, da jim bo pomagalo pri raziskovanju novih načinov zdravljenja Alzheimerjeve bolezni za ljudi.
Vodja študije dr. Robert McGeachan je za BBC poudaril, da je demenca uničujoča bolezen, ne glede na to, ali prizadene ljudi, mačke ali pse. "To odpre tudi vrata za raziskovanje, ali bi obetavna nova zdravila za Alzheimerjevo bolezen pomagala tudi našim starajočim se hišnim ljubljenčkom," je dejal.
Posnetki možganov starejših mačk, ki so kazale simptome mačje demence, so razkrili, da se je amiloid-beta kopičil v sinapsah, torej stikih možganskih celic. Sinapse omogočajo pretok sporočil med možganskimi celicami, njihova izguba pa povzroča zmanjšanje spomina in miselnih sposobnostih pri ljudeh z Alzheimerjevo boleznijo.

Raziskovalci so pred tem proučevali le gensko spremenjene glodalce, čeprav ta vrsta naravno ne trpi za demenco. "Ker se pri mačkah te spremembe v možganih razvijejo naravno, lahko ponujajo tudi bolj natančen, naravni model bolezni kot tradicionalne laboratorijske živali, kar bo na koncu koristilo tako njim kot njihovim skrbnikom," je pojasnil dr. McGeachan.
Oglaševanje

Skupina za zaščito živali pravic živali People for the Ethical Treatment of Animals je izjavila, da so študijo izvedli na spoštljiv in neinvaziven način na možganih že poginulih mačk. Vendar so poudarili, da bodo nasprotovali vsem raziskavam, ki bi vključevale poskuse na živih mačkah.
Kakšno je tvoje mnenje o tem?
Sodeluj v razpravi ali preberi komentarje
Oglaševanje
Kakšno je tvoje mnenje o tem?
Sodeluj v razpravi ali preberi komentarje
Oglaševanje
Najbolj brano
Oglaševanje
Oglaševanje