
Danski raziskovalci so objavili poročilo o primeru, ki razkriva nepričakovano posledico enega najbolj kultnih breakdance gibov: headspina. Gre za gib, ki ga plesalci izvajajo na glavi in se vrtijo okoli svoje osi. A ponavljajoča se obremenitev lobanje, lasišča in kože lahko sproži vnetje, manjše krvavitve pa lahko sčasoma povzročijo zadebelitev kože in izboklino.
Čeprav je plesna zvrst breakdance zelo priljubljena zaradi ustvarjalnosti in tehnike, pa predstavlja tudi določena tveganja, poroča CNN. Ta lahko vključujejo sindrom karpalnega kanala in druge težave z živci ter stanje, ki je v skupnosti plesalcev breakdancea poznano kot "headspin hole". Poškodba nastane ob prekomernem izvajanju kultnega plesnega giba — headspina — ki ga plesalci izvajajo na glavi in se vrtijo okoli svoje osi.
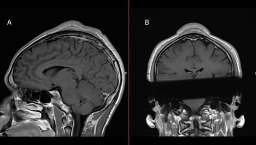
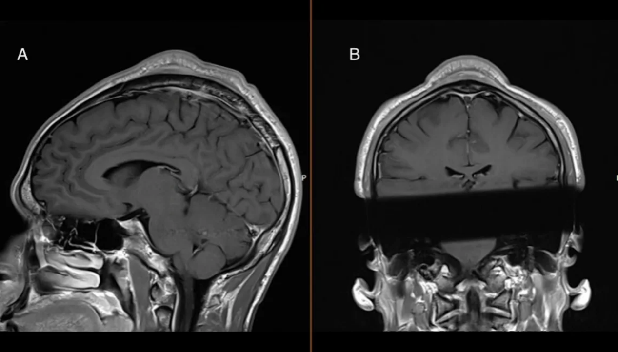
Poškodba se običajno začne z izpadanjem las, na vrhu glave pa lahko zraste velika izboklina. Danski raziskovalci so v četrtek v medicinski reviji BMJ objavili primer, ko je moški v zgodnjih 30. letih breakdance treniral skoraj 20 let. Zdravniki so ga morali zaradi omenjenega plesnega giba zdraviti zaradi benignega tumorja, ki je bil debel več kot dva centimetra.
Poškodba naj bi nastala zaradi ponavljajočega se trenja med lasiščem in tlemi med vrtenjem glave, ki se dodatno poveča še zaradi pritiska med gibanjem, poroča CNN.
"Menimo, da je to stanje posledica ponavljajočega se trenja med glavo in tlemi, ki se skupaj z obremenjujočo naravo headspinov nabira z leti breakdancea," je dejal dr. Christian Baastrup Søndergaard, specialist za nevrokirurgijo v bolnišnici Rigshospitalet v Köbenhavnu. "Ta ponavljajoča se obremenitev lobanje, lasišča in kože verjetno sproži vnetje, manjše krvavitve pa lahko sčasoma povzročijo zadebelitev kože in brazgotinsko tkivo, ki tvori značilno izboklino," je dejal Søndergaard, soavtor poročila o primeru, ki je bolnika zdravil.

Bolnik je pred operacijo poročal o nelagodju in bolečinah. Da bi izboklino zakril, je med ljudi hodil zgolj s pokrivalom na glavi. Ko so kirurgi izrastek odstranili, je bolnik začutil olajšanje."Super je, da grem lahko v javnost brez kape ali klobuka. Veliko ljudi mi je reklo, da izbokline ne opazijo več in da je moja glava videti povsem normalno," je dejal.
V poročilu so raziskovalci zapisali še, da kljub temu da v breakdance skupnosti obstaja določeno zavedanje o morebitnih poškodbah, ki nastanejo zaradi headspina, je zdravstvena literatura na to temo še precej skopa. Uporabniki spletnega foruma za plesalce breakdancea r/bboy na Redditu poročajo, da se sčasoma na določenih delih glave pojavi pleša. Drugim plesalcem pa svetujejo, da med plesnim gibom nosijo podložene kape ali pa v pokrivalo dodajo gelske blazinice.
Kako vam je všeč N1? Kaj bi izboljšali?
Dragi bralci in bralke, pomagajte nam izboljšati N1. Kaj pogrešate, kaj vam je všeč, česa ne marate? Pripravili smo kratko anketo o zadovoljstvu bralcev, reševanje traja približno pet minut, anketa pa je anonimna. Povezava do ankete: https://n1slovenija.1ka.si/raziskava-branosti
Kakšno je tvoje mnenje o tem?
Sodeluj v razpravi ali preberi komentarje