Viden prispevek slovenskih zdravnikov: diagnosticiranje hudih bolezni bo lažje

Slovenska zdravnika in nevroznanstvenika sta pripomogla k pomembnemu koraku pri diagnosticiranju hudih nevrodegenerativnih bolezni, ki prizadenejo možgane. Med njimi sta najpogostejši Parkinsonova in Alzheimerjeva bolezen. Sodelovala sta pri raziskavah naprednih analitičnih metod, s pomočjo katerih je mogoče ob slikanju možganov zaznati spremembe, še preden se pojavijo prvi znaki bolezni.
Nevrodegenerativne bolezni so tiste, ki prizadenejo nevrone oziroma živčne celice v človeških možganih. Simptomi teh bolezni so lahko motnje gibanja, kot pri Parkinsonovi bolezni, ali kognitivni upad (težave s spominom, jezikom ali drugimi kognitivnimi funkcijami), kar je značilno za Alzheimerjevo bolezen in druge oblike demence.
Slovenska zdravnika in nevroznanstvenika, nevrolog dr. Tomaž Rus in mladi raziskovalec dr. Matej Perovnik, sta sodelovala pri pomembnem koraku pri diagnosticiranju teh hudih bolezni, ki prizadenejo možgane. V preglednem znanstvenem članku, objavljenem v Nature Reviews Neurology, sta opisala napredne matematične metode, s katerimi preučujejo možganska presnovna omrežja in njihove spremembe pri bolnikih s takimi boleznimi.
Članek je plod na desetine raziskav z vsega sveta, med njimi slovenskih. Rus in Perovnik sta raziskave opravljala v sodelovanju z ameriškim nevrologom dr. Davidom Eidelbergom v Centru za nevroznanost na Feinsteinovem inštitutu v New Yorku. Perovnik se je posvetil predvsem raziskavam sprememb pri Alzheimerjevi bolezni in demenci z Lewyjevimi telesci, Rus pa pri Parkinsonovi bolezni, frontotemporalni demenci in Creutzfeldt-Jakobovi bolezni. Raziskovalci z Nevrološke klinike in Klinike za nuklearno medicino UKC Ljubljana z raziskovalno skupino iz ZDA sodelujejo že dvajset let. V zadnjih petih letih so pod vodstvom profesorice nevrologije z Medicinske fakultete dr. Maje Trošt objavili 12 izvirnih znanstvenih člankov v vidnih nevroznanstvenih revijah, s člankom v Nature Reviews Neurology pa mesto slovenske nevroznanosti še dodatno utrdili na svetovnem zemljevidu.

"Raziskovalno delo je dolgotrajno, na poti mnogokrat ne veš, ali si zašel v slepo ulico ali pa te ta vodi do rezultata. Objava v tako prestižni reviji pomeni potrditev dosedanjega dela in motivacijo v prihodnje," pravi Rus. "Objava takega kova je potrditev, da je vredno trdo delati in da tudi v Sloveniji po znanju prav nič ne zaostajamo za preostalim svetom," je prepričan Perovnik. "Ravno nasprotno, z objavo takega preglednega članka lahko aktivno prisostvujemo k narekovanju trendov v raziskovanju na tem področju."
Ključna zgodnja diagnoza
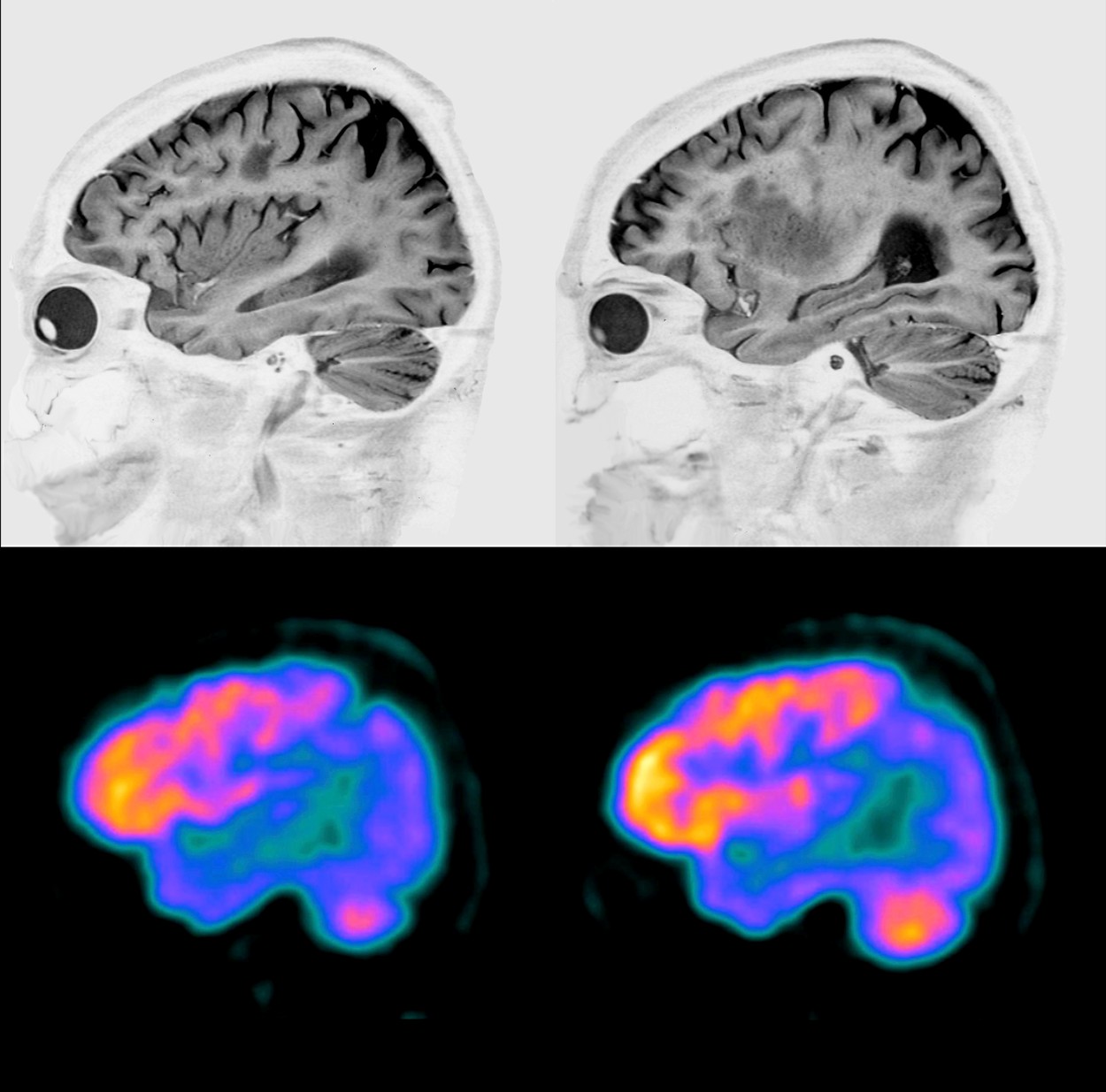
Različne nevrodegenerativne bolezni prizadenejo različne predele možganov. V zadnjih letih je tehnologija slikanja možganov zelo napredovala. Tako lahko zdravniki s pomočjo metod, kakršni sta funkcijska magnetna resonanca (MRI) in pozitronska emisijska tomografija z radioaktivno 18F-fluordeoksiglukozo (FDG PET), pri bolniku prepoznajo za neko bolezen značilen "možganski zemljevid". Nenormalnosti možganskega omrežja je pogosto mogoče prepoznati celo že pred pojavom simptomov, podatke pa uporabiti najprej za diagnosticiranje in nato za spremljanje napredovanja bolezni.
Zakaj je to pomembno? V zadnjem času znanost pri zdravljenju teh bolezni, še posebej Alzheimerjeve, dosega velike preboje, bolnikom pa so ponekod že na voljo nova zdravila, ki upočasnjujejo propadanje možganskih celic. Vendar pa učinkujejo samo, če se z njim začnejo zdraviti bolniki v zgodnji fazi bolezni, ko možgani še niso tako močno poškodovani. To pomeni, da bi morali ljudje zdravnika obiskati že ob prvih težavah s spominom, ti pa bi jih morali takoj poslati na dodatne preiskave, ki ugotavljajo, ali gre za Alzheimerjevo bolezen ali za drugo obliko demence. Po besedah predsednice društva Spominčica – Alzheimer Slovenija Štefanije Lukič Zlobec je denimo v Sloveniji okrog 34.000 ljudi z demenco, pri čemer jih kar 75 odstotkov od tistih, ki že kažejo prve znake bolezni, nima diagnoze.
Pri slikanju FDG PET bolniku v veno vbrizgajo radioaktivno označeno glukozo, ki se razporedi po presnovno aktivnih organih. Velik del je privzamejo možgani. Radioaktivni elementi pri razpadu oddajajo sevanje, ki ga zaznajo s posebno kamero PET, in tako zdravniki ocenijo, kateri predeli možganov so bolj, kateri pa manj aktivni. Pri zdravem človeku je razporeditev radioaktivne glukoze enakomerna v celotni možganski skorji in globokih možganskih jedrih. Pri bolnikih z nevrodegenerativnimi boleznimi pa je razporeditev glukoze specifično spremenjena. Z osnovnim pregledom slik FDG PET lahko prepoznajo predele s spremenjeno aktivnostjo, z naprednimi analitičnimi modeli pa lahko ocenijo, kako so ti predeli združeni v omrežja.

Funkcijske slikovne preiskave možganov, ki sta jih opisala slovenska znanstvenika, tudi zgoraj omenjeno slikanje FDG PET, že uporabljajo za diagnostiko nevrodegenerativnih bolezni v večjih bolnišnicah. Med njimi je UKC Ljubljana. "Napredni multivariatni algoritmi, ki jih s kolegom opisujeva v članku, pa so bili do nedavnega rezervirani predvsem za raziskovalno okolje," pojasnjuje Rus. Ker raziskave kažejo, da je metoda zanesljiva, nameravajo omenjene algoritme v kratkem vpeljati v vsakodnevno klinično prakso. Tudi slovenski bolniki bodo imeli tako kmalu možnost na ta način dobiti bistveno natančnejšo diagnozo.
Nevrodegenerativne bolezni pomenijo izjemo breme za bolnike, njihove svojce in družbo. Ocenjujejo, da je na svetu 57 milijonov ljudi z Alzheimerjevo in 8,5 milijona ljudi s Parkinsonovo boleznijo. "Tem bolnikom lahko za zdaj ponudimo le simptomatsko zdravljenje, v zadnjem času pa prihaja vse več spodbudnih novic o zdravilih, ki učinkujejo na sam vzrok bolezni," pojasnjujeta avtorja članka, ki sta oba tudi zdravnika na Nevrološki kliniki. Zdravilo za Alzheimerjevo bolezen, ki ga je ameriški urad za zdravila FDA pred kratkim odobril, nestrpno pričakujemo tudi pri nas. Tudi zaradi skorajšnjega prihoda tega in drugih zdravil je natančna diagnoza, h kateri pomembno pripomorejo tudi omenjene slikovne preiskave možganske presnove, še posebej pomembna.
Spremljajte N1 na družbenih omrežjih Facebook, Instagram in Twitter.
Naložite si našo aplikacijo: na voljo za android in za iOS.
Kakšno je tvoje mnenje o tem?
Sodeluj v razpravi ali preberi komentarje