
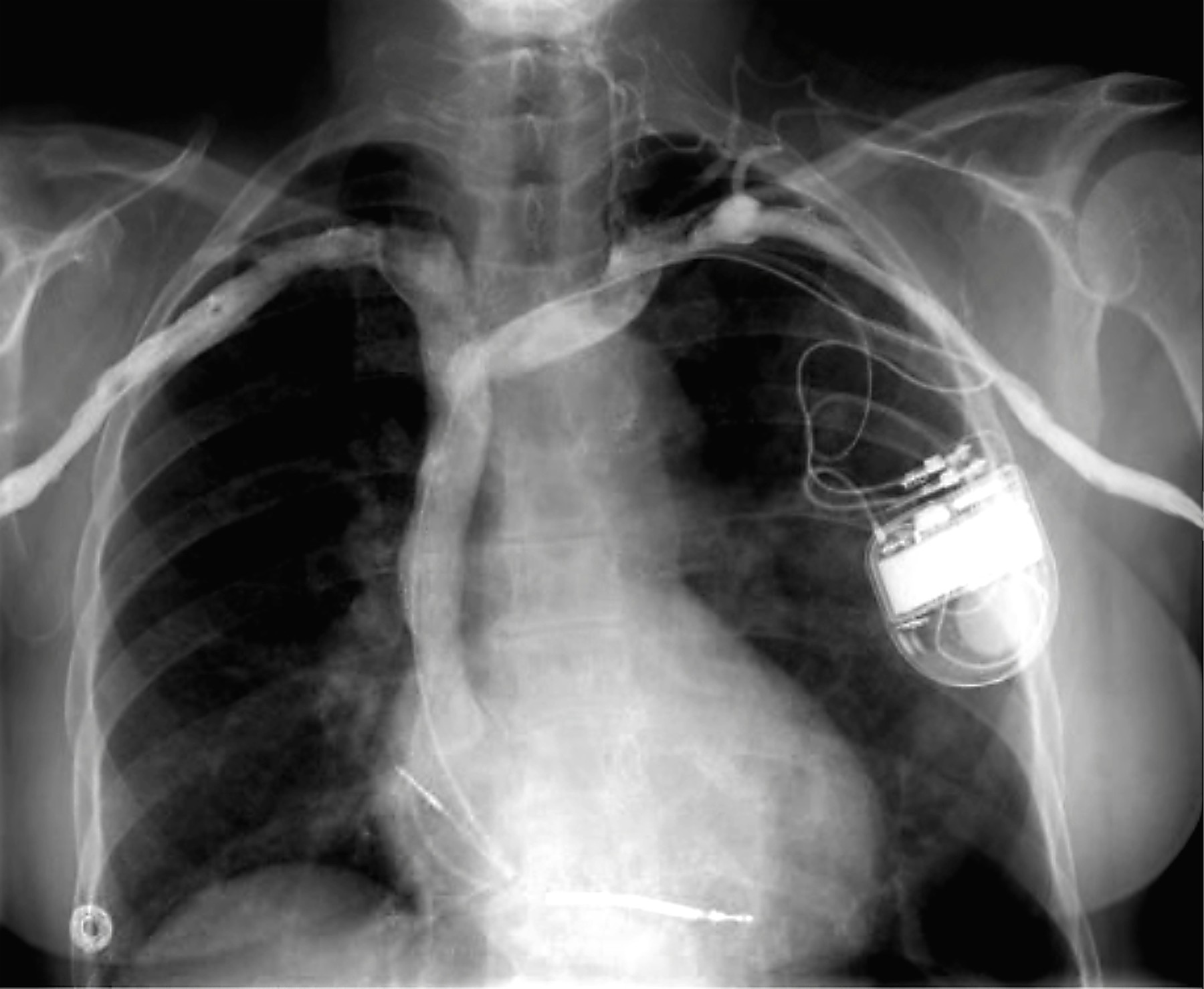
Romunijo pretresa kazenska preiskava, v katero se je ujelo pet zdravnikov. Skupina je osumljena nezakonite ponovne uporabe medicinskih vsadkov, kot so srčni spodbujevalniki. Te naj bi vzeli iz trupel mrtvih pacientov in jih na podlagi lažnih diagnoz ter pogosto brez potrebe ponovno vsadili v žive bolnike. Večinoma je bil izvor ponovno uporabljenih vsadkov tudi neznan.
Oglaševanje
V Romuniji poteka odmevna kazenska preiskava, ki je dosegla tudi mednarodno javnost. Vanjo se je za zdaj ujelo pet zdravnikov, ki so osumljeni nezakonite ponovne uporabe že uporabljenih medicinskih vsadkov, kot so denimo srčni spodbujevalniki. Te naj bi vzeli iz trupel pacientov in jih ponovno vstavili v žive bolnike, poroča Guardian.
Tamkajšnja policija je enega od petih zdravnikov že pridržala zaradi obtožb o jemanju podkupnin in zlorabi položaja. Zaposlen je bil v bolnišnici v mestu Iași na vzhodu države.
Preberite še: "Zdravnik mora pacienta spoštovati"
Tožilci pravijo, da je zdravnik nadzoroval mrežo, v kateri so bili še štirje zdravniki. Mreža naj bi delovala tako, da so mu štirje zdravniki redno izročali vsadke, ki so bili odvzeti mrtvim pacientom brez predhodnega soglasja svojcev ali pacienta pred smrtjo.
Zdravnik naj bi nezakonite vsadke od leta 2017 uporabil v skupno 238 posegih. Pogosto je bil izvor ponovno uporabljenih vsadkov tudi neznan. Pridržani zdravnik je svoje paciente tako izpostavljal resnim zapletom in smrti, navaja Guardian.
"Velik del vsadkov, ki jih je priporočil zdravnik … sploh ni bil potreben," so tožilci zapisali v izjavi. Zdravnik naj bi medicinske pripomočke vstavljal na podlagi lažnih diagnoz oziroma predhodno predpisanih zdravil, ki so po uporabi sprožila specifične simptome.

Romunski zdravstveni sistem sicer velja za enega najslabše razvitih v Evropski uniji (EU). Znano je, da ga pesti korupcija, neučinkovitost in upravljanje pod vplivom politike.
Država je v zadnjih treh desetletjih zgradila eno bolnišnico, tudi sicer za zdravstvo med državami članicami EU nameni najmanj denarja, na desettisoče zdravnikov in medicinskih sester pa je državo že zapustilo, še poroča Guardian.
Kakšno je tvoje mnenje o tem?
Sodeluj v razpravi ali preberi komentarje
Oglaševanje
Kakšno je tvoje mnenje o tem?
Sodeluj v razpravi ali preberi komentarje
Oglaševanje