
Frontotemporalna demenca je v starostni skupini med 45 in 65 med najbolj pogostimi. Skupina raziskovalcev, med katerimi so tudi slovenski, je odkrila spremembo proteina, ki sodeluje pri zgodnjem razvoju tovrstne demence. Odkritje omogoča pomemben vpogled v vzroke nastanka te bolezni in razvoj novih strategij za njeno zdravljenje.
Skupina raziskovalcev iz Slovenije, Nemčije in Nizozemske je odkrila spremembo proteina FUS, ki sodeluje pri zgodnjem razvoju frontotemporalne demence. Izsledki raziskave, objavljeni v reviji Brain, omogočajo pomemben vpogled v vzroke nastanka te bolezni in razvoj novih strategij za njeno zdravljenje.
Frontotemporalna demenca je na splošno redkejša oblika demence od bolj poznane Alzheimerjeve bolezni, vendar pa je v starostni skupini med 45 in 65 med najbolj pogostimi, je pojasnil Boris Rogelj z Odseka za biotehnologijo Instituta Jožef Stefan (IJS) in Fakultete za kemijo in kemijsko tehnologijo Univerze v Ljubljani, eden od avtorjev članka.
Prizadene predvsem čelni in senčni reženj možganov in se za razliko od Alzheimerjeve bolezni, kjer je eden glavnih, zgodnjih simptomov pozabljivost, kaže prek vedenjskih in osebnostnih sprememb ali težav z razumevanjem in izgovarjavo besed.
Z molekularno-patološkega vidika v možganih bolnikov z nevrodegenerativnimi boleznimi, vključno s frontotemporalno demenco, prihaja do nenormalnega kopičenja nekaterih proteinov na napačnem mestu v živčnih celicah. To se dogaja zaradi prekomerne proizvodnje teh proteinov ali njihove okrnjene razgradnje in odstranjevanja iz celic. Eden od teh proteinov je tudi FUS, ki je povezan s približno 10 odstotki vseh frontotemporalnih demenc, je pojasnil Rogelj.
Podrobneje o odkritju dr. Boris Rogelj v tem videu.
Ključna fosforilacija
Poleg sprememb v proizvodnji in razgradnji proteina FUS lahko nepravilno kopičenje tega proteina v živčnih celicah povzročijo tudi mutacije ali spremembe tega proteina. Ena izmed sprememb je fosforilacija, kjer lahko vezava fosfata na nekatere aminokisline močno vpliva na delovanje proteinov. Že v preteklosti so v laboratoriju IJS pokazali, da sprememba v proteinu FUS – natančneje fosforilacija zadnje aminokisline tirozina v tem proteinu – onemogoča pravilno razporejanje proteina FUS v jedro živčnih celic. Fosforilacija pospeši njegovo nepravilno kopičenje, s tem pa tudi tvorjenje toksičnih agregatov FUS in smrt živčnih celic pri frontotemporalni demenci.
Doslej so bile omenjene spremembe in mehanizmi nemutiranega proteina FUS po navedbah IJS slabo raziskani. Raziskovalcem pa je zdaj uspelo razviti poseben detektor oziroma protitelo, ki prepoznava spremembo na proteinu FUS, in z napredno mikroskopijo razkriti vzorec razporejanja proteina FUS v celicah, ki ga z doslej znanimi komercialno dostopnimi detektorji ni bilo možno zaznati.
Na ta način so potrdili, da v možganih bolnikov s frontotemporalno demenco, povezano s proteinom FUS, dejansko prihaja do omenjene spremembe na proteinu FUS. Poleg tega so ovrednotili tudi učinek encimov Src, Fyn in Abl na razporejanje FUS v nevronih sprednje skorje možganov. Ugotovili so, da encim Abl v pogojih stresa aktivno sodeluje pri napačnem razporejanju proteina FUS v živčnih celicah, kar so podali kot nov osnovni mehanizem nastanka in napredovanja frontotemporalne demence, povezane s proteinom FUS. S tem so raziskovalci naredili pomemben korak na poti razumevanja vzrokov za nastanek frontotemporalne demence in razvoj novih strategij za njeno zdravljenje.
Protitelo, ki so ga razvili, bi se v prihodnje lahko uporabljalo za razvoj diagnostike in kot orodje za raziskave mehanizmov nastanka frontotemporalne demence ter nekaterih drugih nevrodegenerativnih bolezni, pa tudi bolezni, kot je rak, je pojasnil Rogelj.
Raziskavo so v sodelovanju z raziskovalci iz Nemčije in Nizozemske izvedli sodelavci IJS Helena Motaln in mlada raziskovalka Urša Čerček pod vodstvom Borisa Roglja. Raziskavo je financirala Javna agencija za raziskovalno dejavnost RS.
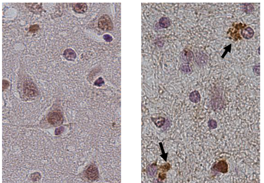
Na sliki na vrhu članka: izražanje fosforiliranega proteina FUS (rjavo) v čelnem režnju človeških možganov. Levo so posmrtni zdravi možgani, desno so možgani bolnika s FUS specifično frontotemporalno demenco. Črne puščice označujejo bolezenske skupke fosforiliranega proteina FUS.
Kakšno je tvoje mnenje o tem?
Sodeluj v razpravi ali preberi komentarje