Ultra predelana živila spreminjajo človeška stegna v "dobro marmorirane zrezke"

Znanstveniki ugotavljajo, da ultra predelana hrana spodbuja kopičenje maščobe v stegenskih mišicah, kar mišice oslabi in dodatno obremeni sklepe. Pri tem skupni kalorični vnos in telesna aktivnost nista tako pomembna kot to, kaj jemo.
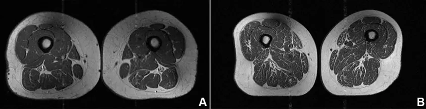
Posnetek magnetne resonance na naslovni fotografiji spominja na kos močno marmoriranega mesa, podobnega vrhunskemu zrezku z obilico drobnih maščobnih niti. A to ni zrezek, temveč stegno 62-letne ženske, ki je 87 odstotkov svojih letnih kalorij zaužila v obliki visoko predelane hrane.
Udeleženka študije se je pretežno prehranjevala z mrzlimi kosmiči, čokoladnimi tablicami in sladkimi pijačami. Skriti pasovi maščobe, ki se nahajajo med mišičnimi vlakni in znotraj njih, lahko nakazujejo resne zdravstvene težave, opozarja dr. Zehra Akkaya, glavna avtorica študije, v kateri so analizirali, kako ultra predelana živila vplivajo na intramuskularno maščobo pri osebah, ki so izpostavljene tveganju za osteoporozo kolen.

Ultra predelana živila so povezana s povečanjem telesne teže in debelostjo ter z razvojem kroničnih bolezni, med katerimi so rak, bolezni srca in ožilja, sladkorna bolezen tipa 2 in depresija. Takšna hrana lahko celo skrajša naše življenje. Po podatkih ameriškega Centra za nadzor in preprečevanje bolezni več kot 50 odstotkov kalorij, ki jih zaužijejo odrasli v ZDA, izvira iz ultra predelane hrane. Pri otrocih je ta delež kar 62-odstotni.
Tudi 61-letna ženska, ki je bila vključena v študijo, je imela v stegenskih mišicah maščobo, a ta ni bila tako izrazita. Ultra predelana hrana je sestavljala približno 29 odstotkov njene diete. Kar je po besedah avtorice študije skrb vzbujajoče, so ti posamezniki že kazali poslabšano kakovost mišic, čeprav niso imeli osteoartritisa kolena. Sklepi so v tem primeru dodatno obremenjeni in lahko vodijo v kasnejše kronične bolečine v kolenih.

61-letna ženska (slika A), katere prehrana je bila v 29,5 odstotka primerov sestavljena iz visoko predelane hrane, je imela nekoliko višji ITM (32,6) in precej nižjo stopnjo telesne aktivnosti kot ženska na sliki B z ITM 31,8, katere prehrana je v 87,1 odstotka sestavljena iz ultra predelane hrane. Kljub temu je imela ženska z višjim deležem visoko predelane hrane v prehrani še vedno znatno več maščobnih vstavkov v mišicah. Na pojav te maščobe ni vplival vnos kalorij, temveč vrsta prehrane. Ni jasno, kako dolgo se mora človek prehranjevati na tak način, da se to zgodi, a povezava je zelo očitna, pojasnjujejo avtorji študije.
"Kar vemo, je, da če imate te težave in začnete telovaditi ter se zdravo prehranjevati, lahko vsekakor izboljšate kakovost svojih mišic. Pri mlajših je to veliko lažje kot pri starejših, a je mogoče," je pojasnil eden izmed raziskovalcev.
Kako spremeniti prehrano
Z naslednjimi ukrepi lahko še dodatno zmanjšate količino visoko predelane hrane v svojem življenju:
- Preberite in primerjajte oznake na izdelkih ter poskusite izbrati manj predelane alternative. Namesto aromatiziranega jogurta izberite navadni jogurt in mu dodajte sadje.
- Tisto, kar vključite v prehrano, je prav tako pomembno kot tisto, kar iz nje izključite. Osredotočite se na živila, ki jih lahko dodate v prehrano, kot so polnozrnata žita, zelenjava, fižol, stročnice in sadje.
- Bodite pozorni na to, kaj pijete. Sladkane pijače nimajo nobene hranilne vrednosti. Zamenjajte jih z vodo.
- Ko jeste zunaj, se izogibajte hitri hrani.
Kakšno je tvoje mnenje o tem?
Sodeluj v razpravi ali preberi komentarje